Veneers in Dubai
You Can Smile Better And Brighter
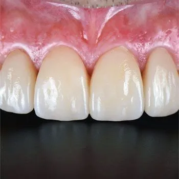
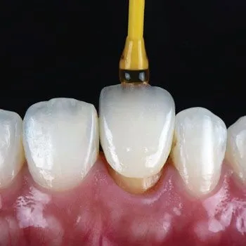
Dental veneers are ultra-thin, expertly crafted shells typically made from porcelain or composite materials. At GentleMax Clinics, we specialize in veneers in Dubai, enhancing smiles by permanently bonding these veneers to the front of your teeth, fixing discoloration, alignment issues, and other imperfections.
Dental Veneers: Your Path to Perfection
Dreaming of a radiant Hollywood smile? Dental veneers could be the secret to unlocking that dream. These ultra-thin porcelain layers, meticulously designed, are bonded to the front of your teeth, transforming your smile into an emblem of perfection.
Addressing a variety of dental issues, veneers are the ideal remedy for problems like damaged tooth enamel, stained or cracked teeth, and even uneven gaps. More than just a cosmetic solution, these porcelain shells also provide crucial protection for your teeth.
Look no further than GentleMax Clinics for high-quality veneers in Dubai and comprehensive smile makeover services. Our reputation for excellence and dedication to patient care ensures you’re in safe hands. Trust us with your smile’s transformation; we’re committed to making it an experience of utmost satisfaction.
Benefits of Veneers
Veneers are known to be durable and require little-to-no change in the teeth structure, resulting in a natural-looking smile that is long-lasting.
Natural appearance
- For cosmetic treatments, the more natural-looking, the better. It is hardly noticeable that your teeth have undergone an aesthetic procedure when you’re wearing them.
Whiter teeth
- If you have dark or yellowish-colored teeth, especially those which are stubborn and resistant to whitening, veneers can make it appear whiter and brighter.
Resists stains
- Porcelain veneers are generally resistant to stains from food and beverages which make it easy to maintain with good oral hygiene.
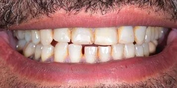
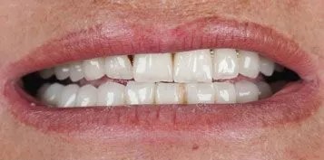
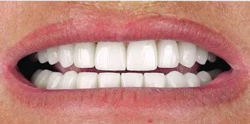
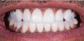
Veneers Before and After



Types Of Dental Veneers

Porcelain veneers
Porcelain veneers are the most aesthetically pleasing, as well as the most durable and long-lasting of all veneer materials. They are natural-looking and can dramatically enhance your smile.

Composite veneers
Composite veneers are composed of composite resin. They merge in nicely with your natural teeth color; however, they can stain and are not as durable as porcelain veneers.

Ceramic veneers
Ceramic veneers are made of ceramic, which is an ultra-thin material that can be applied without the need of drilling or injections, making them even thinner than porcelain veneers.

Emax veneers
Another kind of porcelain veneers, Emax veneers are lighter and thinner than traditional dental porcelains. They are proven to be durable and can last 20 years or more with proper care.
Frequently Asked Questions
The cost of getting dental veneers in Dubai will vary based on several factors, such as the type of veneers an individual opts for, the number of veneers one would like, as well as on how easy or complicated the case is, depending on an individual’s teeth structure.
Veneers are also called “instant orthodontics”, with its ability to correct different aesthetic dental cases within a short period of time. For some patients, this treatment alone can complete the whole smile makeover process. If you feel insecure with your unattractive teeth and smile, veneers can solve various aesthetic dental issues which include the following:
- Uneven teeth – Uneven teeth can be caused by teeth grinding habits or natural wear and tear when we age. This can further result in a misaligned bite also known as malocclusion. Veneers can help you have natural, youthful-looking teeth even at your old age.
- Damaged enamel – Among the common causes of the wearing off or dulling of tooth enamel are aging, smoking, consuming certain medications and beverages such as soda or coffee.
- Teeth gaps – Some people are born with uneven gaps between their teeth because of heredity which also widens as they age.
- Teeth discoloration – Some teeth have discoloration and stains that have become unresponsive to teeth whitening. This is where veneers come in handy to cover up.
The best candidate for a porcelain veneer treatment is anyone who wishes to improve the appearance of his/her smile. If you shy away from the camera or don’t feel confident enough during social interactions because of how your teeth look like, veneers could be your best solution.
Veneers are also best for people who are frequently in the public scene or out of the office, meeting clients and stakeholders. Your personal appearance is your brand itself and you can instantly achieve that Hollywood smile and feel confident about yourself.
Our professional cosmetic dentists will assess your condition during your initial consultation and evaluate the possible treatment options for your case. Generally, veneers are among the most preferable options for both the dentist and the patient as the procedure is minimally invasive, and no tooth removal is required. Treatments, however, will always vary from one case to another.
For those with existing oral health conditions such as tooth decay or gum problems, your dentist will recommend you to address these problems first before going for cosmetic treatment.
Since veneers are made from strong material that resembles natural teeth, they can last from 15 to 20 years. However, porcelain may come loose or break when not given proper care. Good oral hygiene such as proper tooth brushing and flossing should always be part of your daily routine. Otherwise, cavities can build under or around your veneers and actual teeth.
Avoid habits that can damage your veneers such as clenching or grinding your teeth, biting fingernails or pens, or chewing on ice. Chipped porcelain veneers cannot be repaired so precautionary aftercare is also important.
What’s great about veneers is that risk of staining them with food or drinks are less likely compared to natural teeth. However, it is still recommended to brush your teeth when consuming anything that can stain your teeth. You must also visit your dentist and hygienist regularly to keep your smile neat and well-maintained.